
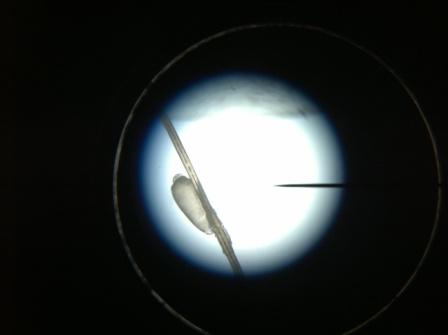
This is just how
small the eggs are. The louse bonds her egg to the hair shaft with a
very strong glue. It is
so strong that one
side of the hair
shaft sheared off with this egg when it was combed out. The
bottom of the egg is what is attached to the hair.
The top of the egg is missing
from this picture because when the egg hatched the "lid" popped
off.
This is that same nit as it would
appear without any magnification. The
tiny tail-like part is the sheared hair shaft. If
this were a "full" nit with a live bug in it, it would appear
slightly darker and just a bit
larger.
This is a nit (that has not hatched yet)
attached to a strand of hair . Under
magnification you can see the "lid" which will "pop"
off when the louse is
hatched.
|